Свердловские хирурги спасли 5-летнюю малышку, которая проглотила 10 магнитных шариков

1974
2 минуты
Свердловские хирурги спасли 5-летнюю малышку, которая проглотила 10 магнитных шариков

ЕЩЁ БОЛЬШЕ ИНТЕРЕСНОГО И ПОЛЕЗНОГО В НАШЕМ ТЕЛЕГРАМ-КАНАЛЕ «Здоровье уральцев» https://t.me/minzdravso

ПОДПИСЫВАЙСЯ!

Детская городская клиническая больница №9, Екатеринбург, Лилия Баталова

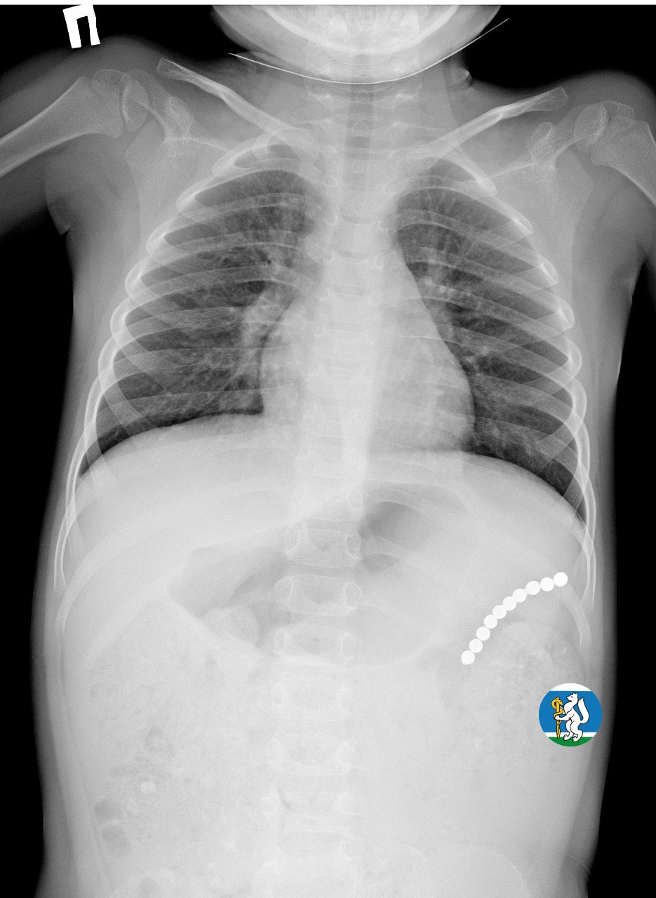
Министерство здравоохранения Свердловской области по поручению главы региона Дениса Паслера уделяет особое внимание профилактике детского травматизма и еженедельно предупреждает родителей об опасностях, которые подстерегают юных уральцев в быту. Несмотря на это не всегда удаётся избежать риска для жизни детей от внешних причин. Об одном из таких случаев — спасении 5-летней Ульяны — заместителю губернатора – министру здравоохранения Свердловской области Татьяне Савиновой сообщили коллеги из Детской городской клинической больницы №9 Екатеринбурга.

«Малышка почувствовала недомогание, и семья пришла на консультацию к участковому педиатру. Для исключения пневмонии был выполнен рентген органов грудной клетки. Благодаря этому на снимке в проекции желудка диагносты обнаружили чрезвычайно опасный предмет — цепочку магнитных шариков, которые травмировали стенки органов пищеварительной системы и могли стать причиной перитонита. В связи с угрозой жизни Ульяну оперативно госпитализировали в Детскую городскую клиническую больницу №9, где ей оказали всю необходимую помощь», — рассказала глава ведомства.

С помощью современного оборудования, которое региональный Минздрав поставляет в свердловские больницы для реализации задач нацпроекта «Семья» и комплекса мероприятий Десятилетия детства, врачи провели пациентке полный цикл исследований и затем прооперировали девочку.

«Для минимизации риска осложнений удаление инородных тел было проведено интраоперационно. В ходе вмешательства дежурная бригада врачей извлекла 10 магнитных шариков, цепочка которых в длину составила 5 сантиметров», — рассказал детский хирург ДГКБ №9 Андрей Чукреев.

После операции малышка ещё 10 дней получала консервативное лечение в отделении неотложной хирургии, а затем её выписали домой. Теперь жизни Ульяны ничто не угрожает.

Специалисты свердловских учреждений здравоохранения напоминают, что магнитные конструкторы и отдельные их элементы могут нести в себе смертельную опасность для детей. Любознательные крохи, а иногда и более взрослые ребята принимают яркие шарики за конфетки, пытаются раскрепить магниты зубами, проглатывают детали конструктора во время игр. Два и более элемента, попадая в петли кишечника, притягиваются друг к другу, вызывая перфорацию стенок и провоцируя серьёзное осложнение — перитонит.

«Я неоднократно читала про опасность магнитных конструкторов, поэтому в нашем доме, в садике, у родных и близких таких игрушек нет. К сожалению, не все взрослые осознают проблему и до сих пор покупают подобные наборы, подвергая риску жизнь своих детей и ребят из их окружения», — добавила мама Ульяны.

Галерея

Разработано в АЛЬФА Системс