Забота о близких: свердловские врачи напомнили о зимних рисках для людей старшего поколения и о важности профилактики травм

19
2 минуты
Забота о близких: свердловские врачи напомнили о зимних рисках для людей старшего поколения и о важности профилактики травм

ЕЩЁ БОЛЬШЕ ИНТЕРЕСНОГО И ПОЛЕЗНОГО В НАШЕМ ТЕЛЕГРАМ-КАНАЛЕ «Здоровье уральцев» https://t.me/minzdravso

ПОДПИСЫВАЙСЯ!

Городская больница №1, Нижний Тагил, Оксана Медведева

С наступлением зимнего сезона, который приносит низкие температуры, гололёд и сокращение светового дня, вопрос защиты людей старшего поколения от рисков травматизма приобретает особую актуальность. В холодное время года 40% пациентов, поступающих в травматологическое отделение Городской больницы №1 Нижнего Тагила, — это пожилые уральцы, упавшие на улице.

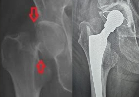
«Недавно был типичный случай: 83-летняя бабушка самостоятельно пошла в магазин, не желая "докучать", как она потом выразилась, своим близким. У подъезда не заметила участок гололёда, поскользнулась и упала. В результате перелом шейки бедра», — привёл пример заведующий травматологическим отделением ГБ №1 Нижнего Тагила Магомед Мусаев.

Пожилые люди находятся в зоне высокого риска по переломам из-за снижения плотности костной ткани и уменьшения мышечной массы, что может привести к нарушению баланса и повышенному риску падений. Для пациентов этой возрастной группы перелом шейки бедра — реальная угроза жизни. Раньше каждый второй из тех, кто сталкивался с такой травмой, терял самостоятельность и нуждался в уходе. Сейчас благодаря эндопротезированию тазобедренных суставов после оперативного лечения пациенты снова могут ходить. Однако лучше опасность предупредить, чем устранять её последствия, тем более, что в ряде случаев операция может быть противопоказана.

«Носите обувь с нескользящей подошвой и хорошей поддержкой. Специальные накладки на обувь также могут повысить сцепление с поверхностью. Не спешите, если необходимо оглянуться, и не делайте это на ходу. Остановитесь, осмотритесь, потом продолжайте движение. Для опоры лучше использовать трость или лыжную палку. Если избежать падения не удалось, не спешите вставать. Лучше прислушаться к своему состоянию, позвать на помощь. Прохожие вызовут медиков», — рекомендует Магомед Мусаев.

Чтобы поддерживать мышечный тонус и баланс, пожилым людям показаны посильные физические нагрузки, включая зарядку, ходьбу, плавание и другие виды активности. Задача родственников — напоминать о тренировке, если близкий человек забывает или откладывает занятия.

«Установите поручни на входе в дом и у лестниц, чтобы вашим пожилым родственникам было легче держаться, когда они выходят на улицу. Помогите с уборкой от снега и льда территории дома, где живут ваши близкие, проверьте, чтобы все пешеходные зоны во дворе были хорошо освещены, а дорожки посыпаны песком. Это поможет избежать падения при передвижении в тёмное время суток», — говорит специалист учреждения здравоохранения.

Следите за тем, чтобы мобильный телефон у бабушек и дедушек был постоянно под рукой. Звоните им чаще, предлагайте помощь, чтобы обеспечить безопасность и благополучие родных в холодное время года.

Галерея

Разработано в АЛЬФА Системс